Featured
How Much Veneers Turkey
How Much Veneers Turkey. Usually, this is called tooth restoration (artistic restoration, etc.). However, you can look for dental care in other countries that offer lower costs.

If you don’t require implants but want a straighter or whiter smile, veneer pricing in turkey are substantially lower than in the united kingdom. How much are veneers in turkey? How much do veneers cost in turkey?
How Much Do Veneers Cost In Turkey?
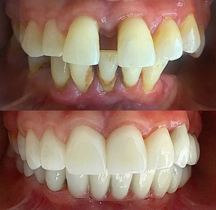
8 emax veneers for upper jaw : Full set of veneers consists of around 20 units. However, you can look for dental care in other countries that offer lower costs.
But The Critical Question Is, How Much Do Veneers Cost In Turkey?
Getting veneers in turkey normally just takes one visit, but if your veneers are being manufactured in a lab (as with porcelain veneers), you’ll have to wait. With these prices , getting that hollywood smile is not only affordable, but also comes with a great holiday in one of the biggest,most beautiful cities in the world. The costs of dental veneers in the uk or other european countries can start at £600 and range upwards.
İstanbul Dental Care’s Average Price For A Laminate Veneer Is 205 Euros.
The price of this procedure depends on many factors. Full set zirconia crowns will be roughly £3200 or €3500 or $4300 before any discounts. How much are veneers in turkey?
It Will Help You To Increase Your Spending.
£3800 / € 4240 / $ 5300. A comparison table showing the cost of different types of veneers in turkey It could be more, usually not less.
Looking For Top Rated Veneers Clinics In Turkey?
This price can fluctuate depending on the material and your tooth shape. It is often 8 on the top, and sometimes 8 on the bottom. Many clients can save up to 70% on dental treatment costs.
Popular Posts
How To Negotiate Salary Over The Phone Script
- Get link
- X
- Other Apps
Comments
Post a Comment